synonymes : depressed fracture ; ping-pong fracture
en 2 mots
la voûte crânienne du nouveau-né est douée d’une certaine élasticité. en cas de compression appuyée, notamment au cours de l’accouchement, elle peut inverser sa courbure. L’embarrure nécessite souvent un correction chirurgicale qui doit être précoce, elle ne laisse pas de séquelles. il s’agit donc d’une condition tout à fait bénigne.
biomécanique
l’embarrure correspond à une position d’équilibre anormale de la voûte. celle-ci est déterminée par l’élasticité osseuse et la conformation géométrique de la voûte. Une embarrure ne peut se stabiliser dans la mauvaise position (comme le couvercle de la boîte de réglisse ci-dessous) qu’au delà d’une certaine taille. Il n’y a donc pratiquement pas de petite embarrure.

la cause de l’embarrure correspond le plus souvent à une compression lors de l’engagement dans le détroit supérieur, comme le démontrent les embarrures chez les enfants nés par césarienne, et non à une compression instrumentale.
diagnostic
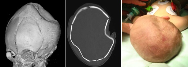
il est évident à l’inspection. il s’agit le plus souvent de la voûte pariétale, rarement de la voûte frontale.
le scanner permet de s’assurer de l’absence de lésion traumatique intracrânienne. 
traitement
Il a pour but de restaurer une morphologie normale et de décomprimer le cerveau. La chirurgie est simple, rapide, et ne laisse qu’une cicatrice minime.
faut-il toujours opérer ?
non, les embarrure minimes ont de bonnes chances de se corriger seules.

pourquoi opérer ?
les indications classiques de la chirurgie pour embarrure sont largement irrelevantes chez le nouveau-né
- la décompression cérébrale : indication « raisonnable » mais pas de preuve en l’absence d’étude contrôlée
- l’inspection et si nécessaire la réparation de la dure-mère : ce n’est pas une indication chez le nouveau-né, la dure-mère est toujours intacte
- la restauration d’une morphologie normale : c’est ce dernier objectif qui paraît le plus indiscutable chez le nouveau-né.
c’est donc une question où entre une large part de subjectivité, une décision à prendre en commun avec les parents de l’enfant.
quel est le seuil pour opérer ?

à quel moment opérer ?
Idéalement, la chirurgie a lieu dans les premiers jours de vie car plus tard l’os durcit en mauvaise position et est plus difficile à réduire. lorsque la chirurgie est faite tôt, le problème est réglé à peu près en même temps que la chute du cordon.
voir la page technique opératoire
quel devenir ?
en règle, l’enfant sera strictement normal, sous réserve d’autre problème ou de difficultés de naissance

Commentaires récents