synonymes : SCIWORA – birth spinal trauma
en 2 mots
l’accouchement peut nécessiter des manoeuvres de traction qui entrainent un étirement de la colonne, qui peut s’étirer plus que la moelle épinière, d’autant plus que l’enfant peut être hypotonique en raison d’une souffrance foetale. par ailleurs, une mauvaise position in utero peut être responsable d’une compression médullaire. La constatation à la naissance d’une paralysie par lésion médullaire est de mauvais pronostic fonctionnel et vital.

physiopathologie
Il s’agit d’une lésion médullaire sans atteinte rachidienne liée à la compliance du rachis, donc une forme néonatale du SCIWORA. la présentation en siège est classiquement plus associée à un atteinte de la moelle thoracique, la présentation céphalique à une atteinte cervicale.
dans certaines observations, on a pu impliquer des facteurs favorisants :
- une malposition du foetus in utero
- une hypotonie liée à une anoxie
- une pathologie sous-jacente du système nerveux (maladie du motoneurone)

dans cette hypothèse, c’est la paralysie anténatale qui est la cause de la dystocie ; il est bien sûr impossible, à partir de ces cas exceptionnels, de formuler mieux que des supputations.
prise en charge
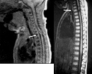
étant donné le pronostic gravissime au plan fonctionnel (paralysie) et vital (hypoventilation), la prise en charge est essentiellement symptomatique et palliative.
l’observation ci-dessous suggère malgré tout qu’une amélioration est possible après décompression chirurgicale.

pour en savoir plus : visionner le cours sur les traumatismes de la naissance
assister au cours sur les traumatismes rachidiens du tout-petit


Commentaires récents