mots-clés : suprasellaire – craniopharyngiome – gliome des voies optiques – tératome – suprasellar tumor – craniopharyngioma – optic pathway glioma – teratoma
cette chirurgie concerne les craniopharyngiomes, gliomes opto-chiasmatiques et tumeurs germinales supra-sellaires, ainsi que les « grosses tiges pituitaires ».
selon que leur extension de fait vers le haut (troisième ventricule), l’avant (étage antérieur) latéralement (bandelette optique, incisure tentorielle) ou vers le bas (sinus sphénoïdal), les tumeurs supra-sellaires pourront être abordées par voie :
- sous-frontale
- transventriculaire
- ptérionale
- trans-sphénoïdale
la résection des tumeurs partant de la tige (craniopharyngiomes, tumeur germinales) permet rarement le respect anatomique de cette dernière, encore moins de conserver une tige pituitaire fonctionnelle ; les principaux objectifs sont la résection tumorale et le respect des voies optiques et de l’hypothalamus.
la voie sous-frontale
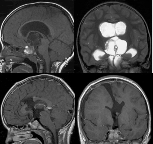
c’est la plus utilisée dans notre pratique pour les craniopharyngiomes, présentant le grand avantage d’un contrôle médian de toutes les structures, en particulier :
- les deux nerfs optiques
- le nerf olfactif du côté opéré
- les deux carotides
- l’artère cérébrale moyenne du côté opéré
- les deux artères communicantes postérieures
- les deux nerfs oculo-moteurs
- l’artère basilaire
- le contenu sellaire
- la face inférieure de l’hypothalamus
- le troisième ventricule
. elle est cependant limitée :
- vers le haut par le rebord orbitaire, puis la commissure blanche antérieure
- vers le bas par le tubercule de la selle, puis le dorsum sellae
- vers l’arrière par le chiasma
- latéralement par le nerf optique et la carotide puis l’artère communicante postérieure
les régions non contrôlées visuellement sont surtout antérieures :
- le fond de la selle en particulier vers l’avant
- la face interne du sinus caverneux
- la face interne de l’espace opto-carotidien
- l’extension vers la fosse postérieure et l’angle ponto-cérébelleux est limitée par la le dorsum sellae et la veine de Dandy

la voie sous-frontale nécessite de principe la dépose du rebord orbitaire, qui permet un accès vers le haut sans rétracter le lobe frontal, mais nécessite souvent une cranialisation du sinus frontal.
elle peut être élargie par :
- l’ouverture de la vallée sylvienne, qui permet de contrôler la bifurcation carotidienne et l’artère cérébrale antérieure, et permet de rétracter le lobe frontal
-

fenestration de la lame terminale ; le nerf olfactif est préservé la fenestration de la lame terminale, qui donne accès à la cavité du troisième ventricule et permet de faire descendre les fragments tumoraux en dessous du plan du chiasma.
- parfois, la tumeur s’étend dans le lobe frontal et le système ventriculaire, on peut réaliser une exérèse intra-tumorale sans risque particulier pour les structures adjacentes (cf. ci-dessous).

avantages
il s’agit d’une voie pratiquement médiane, qui permet d’épargner au mieux les axes vasculaires, et de contrôler le contenu sellaire. excellent contrôle direct du tronc basilaire et de ses branches.
inconvénients
la voie sous-frontale est extensive, avec un grand scalp, une dépose du rebord orbitaire et cranialisation du sinus frontal. les régions mal vues sont surtout la face interne du coude antérieur de la carotide et l’espace perforé antérieur.
la préservation du nerf olfactif controlatéral est le plus souvent possible ; la préservation du nerf homo-latéral est est parfois possible, mais sa fonction est sujette à caution, et il faut mettre en balance le bénéfice de conserver un deuxième nerf olfactif (un seul suffit en général) et celui de compromettre la résection tumorale.

assister au cours sur l’abord sous-frontal des tumeurs supra-sellaires avec dépose du rebord orbitaire
la voie trans-ventriculaire

il s’agit d’une voie transcalleuse étendue à la région suprasellaire. c’est don ici également une voie d’abord médiane.
elle est utile en cas de tumeur à développement intra-ventriculaire prédominant, en particulier les tératomes supra-sellaires. c’est une voie utile en urgence devant une hydrocéphalie tumorale aiguë, s’il n’est pas possible de faire une fenestration endoscopique. c’est également la voie d’abord pour les hamartomes hypothalamiques.
à noter qu’à la différence des craniopharyngiomes qui se séparent bien du tronc basilaire (du moins lors d’une première intervention), les tératomes peuvent adhérer intimement au tronc basilaire.
avantages
c’est une voie d’abord moins invasive et plus rapide que la voie sous-frontale. elle est mieux adaptée aux tumeurs avec extension intraventriculaire. elle peut être étendue en arrière par le soulèvement de la toile choroïdienne (voie inter-thalamo-trigonale)
inconvénients
elle nécessite l’existence d’une hydrocéphalie sinon les ventricules sont vraiment très petits. elle est également rendue difficile par la distance de travail nécessitant une instrumentation longue.
la voie trans-ventriculaire est limitée en avant par les piliers du trigone et la commissure blanche antérieure. par ailleurs, l’accès au tronc basilaire est très étroit et distal par cette voie.

la voie endoscopique transventriculaire
est une variante minimalement invasive, qui permet en cas de grande urgence de réaliser une fenestration du kyste et de libérer les ventricules.
elle permet de vidanger le kyste, mais aussi d’y implanter un catheter pour mettre en place un traitement intra-thécal

la voie ptérionale
elle est adaptée pour l’abord des tumeurs limitées de la tige pituitaire (grosse tige pituitaire) à visée biopsique, plus difficilement de résection (débulking de gliomes opte-chiasmatiques). elle est également facilitée par l’existence d’un kyste volumineux (cf. ci-dessous)

avantages
c’est une voie plus limitée que la voie sous-frontale, elle n’interfère pas avec les nerfs olfactifs ; elle permet de contrôler des lésions s’étendant latéralement : le long de la bandelette optique (zone aveugle dans la chirurgie par voie sous-frontale) et sous la tente du cervelet.
inconvénients
c’est un abord unilatéral, qui permet malgré tout un contrôle bilatéral, mais le principal inconvénient est le risque de lésion vasculaire : spasme, possibilité d’anévrysme fusiforme de l’axe carotidien, possiblement par ischémie de la paroi artérielle, lésion des vaisseaux perforants.
visionner la vidéo sur le traitement endoscopique des craniopharyngiomes kystiques


Commentaires récents