en 2 mots
ce sont des tumeurs qu’on rencontre chez le jeune nourrisson, et même le nouveau-né. elles nécessitent une chirurgie souvent majeure. bien qu’elles soient n principe bénignes, leur évolution est en fait très variable.
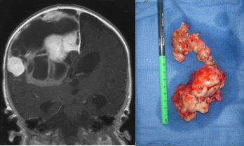
anatomie pathologique
auparavant séparées en astrocytomes et gangliogliome, elles sont regroupées dans la dernière classification OMS, et affectées d’un grade 1. cette apparente bénignité est souvent mise en défaut par une tendance à la récidive et aux métastases, et lhistopathologie retrouve souvent un taux de mitoses élevé.
macroscopiquement, la tumeur a le plus souvent une attache méningée, et elle est d’emblée apparente à l’ouverture durale. elle est de consistance ferme, avec un fort contingent kystique ; elle se clive relativement bien des structures cérébrales et vasculaires adjacentes. lors des récidives cependant, elle peut adhérer intimement aux vaisseaux du polygone de willis et infiltrer le cortex et les ventricules.
diagnostic
c’est en règle générale une très volumineuse tumeur chez un très jeune nourrisson, souvent même un nouveau-né. il peut exister des métastases d’emblée.
traitement
il repose avant tout sur la chirurgie, qui est souvent urgente voire extrêmement urgente. le rôle des chimiothérapies (de type LGG) n’est pas établi avec certitude en raison de la rareté des cas de récidive.

devenir
il est en général favorable, cependant il peut être inattendu, à la fois dans le bon et dans le mauvais sens.


pour en savoir plus
MR imaging in the diagnosis of desmoplastic infantile tumor: retrospective study of six cases.

Commentaires récents