synonymes : optic nerve glioma

en 2 mots
ce sont des tumeurs de bas grade, qui progressent lentement, et qu’on diagnostique le plus souvent devant une perte sévère et non récupérable de la vision d’un oeil.
la chirurgie ne permet pas de conserver la vision mais traite la douleur, l’exophtalmie, et permet d’éviter que la tumeur ne s’étende ; elle prend sa place lorsque l’acuité visuelle n’a plus d’utilité.
anatomie pathologique
le plus souvent, il s’agit d’un astrocytome pilocytique, rarement d’un gangliogliome
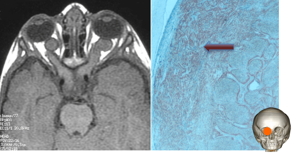
la tumeur infiltre les fibres du nerf, il n’y a donc aucune possibilité de chirurgie conservatrice. Dans la NF1, les cellules tumorales engainent les fibres du nerf, donnant en imagerie un aspect en cocarde.
l’extension postérieure est variable, la tumeur peut atteindre le Chiasma et compromettre la vision de l’autre oeil ; l’existence d’une boucle de fibres venant du chiasma et empiétant sur le trajet pre-chaismatique du nerf optique (boucle de Wilbrand, Wilbrand’s loop) est débattue.
diagnostic

la majorité des patients sont porteurs de NF1, auquel cas la tumeur peut être bilatérale ; la tumeur peut alors être diagnostiquée à un stade asymptomatique auquel elle ne nécessite qu’une simple surveillance
dans les cas symptomatiques, la tumeur est souvent découverte devant
- une baisse importante de la vue
- une exophtalmie
- des douleurs
prise en charge
elle est essentiellement chirurgicale, en raison des douleurs, de l’exophalmie, de la perte de vision, et du risque d’extension postérieure.
suivant que la tumeur est purement intra-orbitaire ou s’étend en intra-cisternal, on optera pour
- une orbitotomie par abord palpébral avec dépose du rebord orbitaire pour abord purement extra-dural
- une craniotomie avec dépose du rebord et du toît orbitaire pour abord extra- et intra-dural



Commentaires récents