synonymes : kystostomie ; kysto-cisternostomie ; ventriculo-kystostomie ; arachnoid cyst ;
en 2 mots
l’endoscopie est un traitement séduisant car elle est peu invasive, et elle suffit souvent à traiter le kyste ; il existe cependant un taux de complication non nul et un taux d’échec qui peuvent rendre nécessaire une autre intervention, shunt ou craniotomie. pour certains kystes comme le kyste supra-sellaire, c’est le traitement de référence ; pour d’autres, c’est un des choix chirurgicaux possibles.
les kystes sylviens
c’est le traitement de choix lorsque le kyste fait face au plan vasculaire.
elle consiste à fenêtrer la paroi interne du kyste de part et d’autre de la carotide, et si possible en avant du nerf optique.
étant donné l’exiguïté de l’abord et les rapports vasculaire étroits, il vaut mieux éviter d’utiliser un ballon.
les complications sont essentiellement marquées par les collections sous-durales, surtout chez le jeune enfant, qui peuvent se compliquer de fistulisation cutanée.

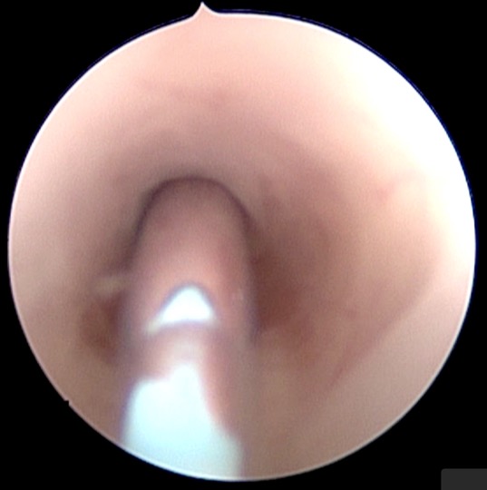
visionner l’endoscopie pour kyste arachnoïdien sylvien
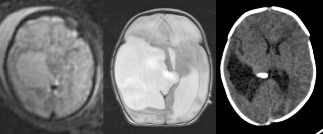
kystes intraventriculaires
obstruction du foramen interventriculaire de Monro

kyste du ventricule latéral

kyste du plexus choroïde
ces kystes sont très fréquents en anténatal, mais nécessitent très rarement un traitement chirurgical ; la fenestration endoscopique est le traitement le mieux adapté.

visionner l’endoscopie pour kyste du plexus choroïde

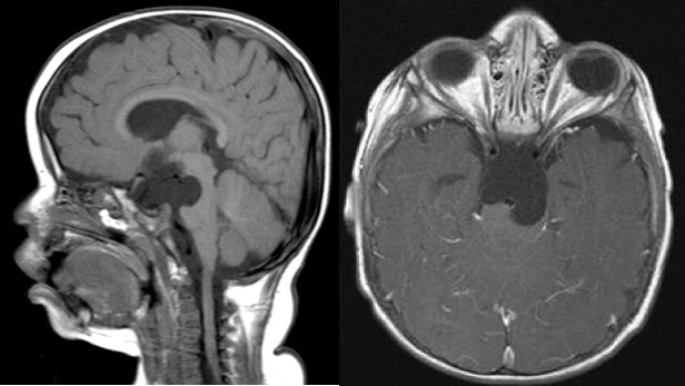
kyste suprasellaire
il s’agit d’un des grand succès de la fenestration endoscopique, qui en est le traitement de référence.
il est cependant indispensable :
- que les ventricules soient dilatés
- d’autre part il faut obtenir une communication entre le ventricule latéral, le kyste et les citernes, c’est à dire une ventriculo-kysto-cisternostomie.
dans les rares cas sans hydrocéphalie (chez le nourrisson en particulier), un abord direct par voie ptérionale peut être nécessaire.
visionner l’endoscopie pour kyste arachnoïdien supra-sellaire

les kystes de l’incisure tentorielle
ces kystes , souvent diagnostiqués en anténatal, sont souvent quiescents et ne nécessitent pas de traitement.
lorsqu’ils progressent, ils s’accompagnent le plus souvent d’une hydrocéphalie et une intervention endoscopique est envisageable ; le geste consiste à fenêtrer le kyste dans les ventricules.

visionner l’endoscopie pour kyste de l’incisure tentorielle
en l’absence d’hydrocéphalie, la valve kyste-péritonéale reste une option satisfaisante ; c’est le recours en cas d’échec ou de complication de l’endoscopie.

quatrième ventricule exclu

la reperméation de l’aqueduc est aisée en cas d’hydrocéphalie, car elle peut être réalisée du haut vers le bas. il ne faut pas dilater le ballon en raison d’un risque de troubles oculomoteurs.
la reperméation de l’aqueduc est plus difficile quand il s’agit d’un V4 exclu avec des ventricules sus-jacents bien drainés. il est préférable de laisser un cathéter en place comme stent pour éviter la re-sténose.

suivre le lien vers la page sur le traitement endoscopique des crâniopharyngiomes kystiques
retour à la page kystes arachnoïdiens intra-crâniens


Commentaires récents