synonymes : collection sous-dural – hydrome sous-dural – hygrome sous-dural – collection péricérébrale – subdural hematoma – hygroma
en 2 mots
il s’agit d’une entité spécifique du nourrisson, constitué par l’accumulation de liquide-cérébrospinal (LCS) dans l’espace sous-dural (par décollement des méninges, les enveloppes du cerveau), à la suite d’un saignement méningé, généralement traumatique. on le rencontre souvent dans les cas de syndrome du bébé secoué.
définition et terminologie
l’hématome sous-dural (HSD) du nourrisson est une collection de liquide hémorragique se développant progressivement dans l’espace sous-dural dans les suites d’un traumatisme. la composante principale de cette collection est le liquide cérébro-spinal ; ceci le distingue de :
- l’HSD aigu (HSDA), qui est constitué de caillots sanguins et de sérum (aspect suraigu = d’emblée hétérogène), immédiatement après le trauma qui est le plus souvent violent ; il est du à un saignement du cerveau et de ses veines.
- l’HSD chronique (HSDC), formé de membranes cicatricielles et contenant un liquide hématique (sang vieilli) avec signes de resaignement des membranes ; il se constitue sur plusieurs semaines ou mois, et est favorisé par l’atrophie cérébrale (patient âgé, alcoolique, ou suite à lésions encéphaliques diffuses).
l’HSD du nourrisson est une entité propre à cet âge, mais pas spécifique de la cause du trauma ; bien que souvent rencontré dans le syndrome du bébé secoué, il est également retrouvé dans les traumas accidentels
ces problèmes de terminologie ne sont pas anodins ; certains utilisent des termes vagues : hygrome, hygroma, hydrome, qui devraient être abandonnés car ils tendent à obscurcir le débat notamment dans le cadre de l’expertise judiciaire et du déni de la maltraitance.
pathogénie de l’HSD du nourrisson
anatomie
l’arachnoïde, méninge molle, délimite un espace anatomique situé entre la pie-mère et la dure-mère : l’espace sous-arachnoïdien (SAS Cf. ci-contre). le LCS circule dans cet espace et est absorbé par les villosités arachnoïdiennes de Pacchioni et les « dural holes » (une porosité diffuse de la dure-mère présente avant l’apparition des villosités arachnoïdiennes).
hydraulique
à la suite d’un traumatisme, le feuillet externe de l’arachnoïde est décollé de la dure-mère, créant l’espace sous-dural, espace pathologique, et les veines cortico-durales, arrachées, saignent dans les espaces méningés. le LCS n’est plus absorbé par les méninges et s’accumule dans l’espace sous-dural, mais aussi sous-arachnoïdien, ainsi que dans les espaces péri-vasculaires cérébraux. 
épidémiologie
l’HSD du nourrisson survient électivement avant un an, et plus souvent chez le garçon, en raison d’une fragilité hydrodynamique propre à cet âge et au sexe masculin. cette fragilité se retrouve dans les collections sous-durales d’autres causes.

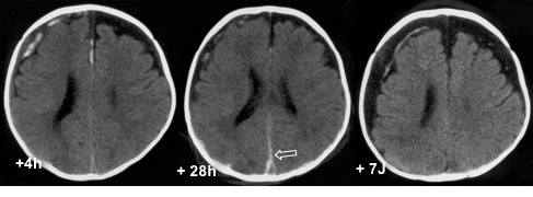
évolution temporelle
à la phase tout initiale, il existe des caillots à la convexité du cerveau, à proximité des veines en pont cortico-durales en regard du sinus sagittal.
dans les 24-48 heures on assiste à la migration des caillots sanguins, par gravité et/ou suivant le flux du LCS) vers :
- la faux du cerveau (qui s’épaissit)
- le sinus sagittal (signe du delta sous-dural)
- la tente du cervelet
dans le même temps, les caillots sanguins à la convexité s’amenuisent
on note également, dans les jours suivants l’apparition :
- d’une collection sous-durale hypodense (le LCS)
- d’une disjonction des sutures
cette évolution permet d’estimer une datation approximative du trauma. globalement, plus le saignement est abondant, plus le temps nécessaire à sa résorption est long ; plus l’évolution est rapide, plus on est proche du traumatisme.
les HSD non traumatiques
il existe également de rares causes non traumatiques de collection sous-durale chez le nourrisson, le plus souvent ces collections contiennent un liquide non ou peu hémorragique. les causes les plus fréquentes sont :
- la méningite
- la chirurgie cérébrale
- les kystes arachnoïdiens
- les anomalies vasculaires
il existe de plus de multiples pathologies rares voire très rares qui sont des diagnostics différentiels des hématomes traumatiques :
le diagnostic est fait aisément :
- sur le bilan standard
- sur les antécédents de l’enfant et le contexte syndromique
- sur les particularités radiologiques du saignement
complications de l’HSD
l’HSD entraîne un cascade de complications en particulier l’hypertension intracrânienne et l’épilepsie. Par ailleurs, l’HSD est parfois associé à des lésions cérébrales voire rachidiennes qui peuvent renforcer les lésions délétères
le traitement médical
le traitement médical a pour but de
- maintenir les fonctions vitales (respiration, tension artérielle)
- contrôler la douleur
- corriger l’anémie (transfusion)
- contrôler les crises convulsives, ce qui est d’importance capitale pour éviter la majoration des lésions cérébrales
- contrôler l’HTIC (sédation)
L’enfant doit souvent être admis en réanimation en raison de convulsions, de troubles de conscience et d’une hypertension intracrânienne sévère.
le traitement chirurgical
- la ponction sous-durale permet de soulager la pression, mais souvent le LCS s’accumule de nouveau, et il est souvent nécessaire de mettre en place un drainage interne.
- le drain sous-duro-péritonéal sans valve a pour but de collaber l’espace sous-dural et permettre sa cicatrisation. Il est laissé en place quelques mois puis retiré de façon systématique.
- la membranectomie est réservée aux cas rebelles passés à la chronicité

pour en savoir plus
Subduroperitoneal drainage for subdural hematomas in infants: results in 244 cases.



Commentaires récents