en 2 mots
bien que la définition d’origine du Chiari 2 tienne à la position abaissée du bulbe, on tend de nos jours à réserver l’appellation de Chiari 2 à l’engagement chronique associé à la
myéloméningocèle. la malformation de Chiari 2 est présente dans 80% des cas de myéloméningocèle, mais en pratique elle n’est significative que s’il existe un problème d’hydrocéphalie : « it’s always the shunt« .
physiopathologie
pathogénie
l’engagement tonsillaire est une pathologie développementale, apparaissant in utero du fait du gradient de pression (ou de la perte de pulsatilité du LCS) au niveau spinal. ceci est attesté par le caractère réversible de l’engagement tonsillaire après chirurgie in utero de la myéloméningocèle.
anatomie pathologique
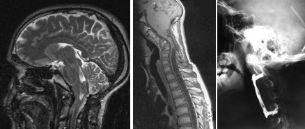
s’agissant d’une anomalie très précoce du développement, il existe des particularités notables qui différentient le Chiari 2 du Chiari 1
- le tronc cérébral est abaissé et déformé

- il s’y associe une déformation du tectum du mésencéphale
- il existe parfois un aspect dysplasique des noyaux des nerfs crâniens, responsable d’un stridor congénital (nerf vague moteur)
- la toile choroïdienne du V4 descend avec les tonsilles, parfois très bas dans le canal spinal
- la fosse postérieure est petite avec un torcular abaissé, une tente verticalisée, un hiatus tensoriel large, et un foramen occipital large
retentissement hydraulique
l’engagement tonsillaire participe à la survenue de l’hydrocéphalie, qui comporte
donc une part obstructive ; ceci rend compte de la possibilité de traitement
endoscopique de l’hydrocéphalie du spina bifida quand l’enfant est déjà suffisamment grand.
la présence du Chiari 2 est responsable de la surmortalité liée à la valve dans le spina, comparée aux autres causes d’hydrocéphalie : l’HTIC est transmise au cervelet qui à sont tour comprime le bulbe.
enfin, le Chiari 2 peut également être à l’origine d’une syringomyélie qui est cause d’une aggravation retardée de la locomotion.
prise en charge
il faut en premier lieu éliminer un dysfonctionnement de valve, par l’interrogatoire, l’imagerie, le fond d’oeil, et parfois par une révision chirurgicale, avant de décider d’une intervention décompressive.
cette dernière est surtout nécessaire en cas de syringomyélie.
la craniectomie est limitée vers le haut car le torcular est abaissé; il est parfois

nécessaire de pratiquer une laminotomie de C2 pour réaliser une décompression efficace, ce qui nécessite une reconstruction et le port d’une minerve pour éviter une déformation en cyphose.
la chirurgie ne peut pas se limiter à un geste osseux ni même purement dural. lors de l’abord cisternal, on rencontre en règle une arachnoïdite dense, associée à un plexus choroïde ectopique, descendant dans le canal rachidien. il est parfois difficile, au sein de cette fibrose, d’identifier l’obex et de libérer la sortie du quatrième ventricule. il est souvent nécessaire, pour prévenir la récurrence, de mettre en place un cathéter entre le V4 et les citernes pour servir de stent.




Commentaires récents