présentation clinique
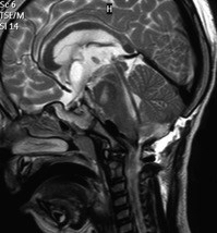
le plus souvent, la tumeur se révèle par une hydrocéphalie, liée à l’obstruction du V4 ; par une ataxie, liée à l’atteinte du pédoncule cérébelleux ; l’anorexie est un mode de révélation surtout chez le petit nourrisson, réalisant un syndrome de Russell
Anorexia: an early sign of fourth ventricle astrocytoma in children.
traitement

il repose sur la la chirurgie d’exérèse
qui doit être prudente en raison de l’infiltration du plancher du V4 : il existe un risque de paralysie faciale (ci-contre), de mutisme, de troubles oculomoteurs, d’ataxie.
l’histopathologie extemporanée permet de savoir qu’il s’agit bien d’un astrocytome, et que s’il persiste un reliquat, celui-ci ne sera pas forcément évolutif, ou pourra être traité par chimiothérapie ou radiothérapie.
la prise en charge de l’hydrocéphalie
repose en général sur la ventriculo-cisternostomie endoscopique ; parfois, devant une infiltration de la région aqueducale, il peut être utile de réaliser une intubation de l’aqueduc, selon la technique proposée par C Lapras.

le traitement oncologique
est indiqué quand il persiste un reliquat non extirpable, surtout s’il progresse ; si le reliquat est stable, on peut se contenter de surveiller radiologiquement.
la chimiothérapie est régulièrement efficace, mais il existe un risque de récurrence à l’arrêt du traitement.
la radiothérapie est réservée à des grands enfants, en particulier en cas de récidive après chimiothérapie ; c’est souvent le point final d’une longue histoire.


Commentaires récents