synonymes : cyst-related subdural collections
en 2 mots
c’est une complication du kyste arachnoïdien, entraînant une hypertension intra-crânienne souvent sévère avec retentissement visuel, et nécessitant une opération de drainage en urgence.
introduction
l’HSD du kyste arachnoïdien mérite mal son nom, car il contient un liquide souvent limpide ; il est cependant très similaire aux autres collections sous-durales de l’enfant et du nourrisson : post-traumatiques, post-méningitiques, post-opératoires ; comme eux, il est affecté d’un sex-ratio très biaisé vers le sexe masculin.
l’HSD est un mode de révélation assez fréquent des kystes arachnoïdiens chez l’enfant, surtout des kystes sylviens ou de la convexité ; dans notre expérience, il représentait plus de 20% des cas d’HSD symptomatiques.
physiopathologie
épidémiologie
données lilloises
il s’agissait dans la grande majorité de garçons : M/F sex-ratio 5,9/1, ce qui reflète et amplifie significativement la prédominance masculine des kystes arachnoïdien (M/F ratio 2,05/1). le sex ratio était encore plus biaisé pour les jeunes enfants : tous les cas diagnostiqués en dessous de 5 ans étaient masculins.
l’âge de survenue était significativement plus élevé que dans les kystes non compliqués (9,1 ans contre 5,1). malgré tout, 18% survenaient chez des garçons de moins de 2 ans, et 9% avant un an. il s’agit donc d’une cause très rare d’HSD du nourrisson, qu’on diagnostique sur un tableau clinique et radiologique distinct de celui de la maltraitance.
traumatisme
il s’agit le plus souvent d’un traumatisme minime. dans la majorité des cas, aucun traumatisme n’était rapporté ; autrement, il s’agissait le plus souvent d’un traumatisme minime, souvent oublié au moment du diagnostic ; chez le nourrisson, on identifiait des chutes et un cas de maltraitance.
localisation du kyste
la très grande majorité des HSD étaient dus à un kyste sylvien ; certains étaient dus à un kyste de la convexité, voire inter-hémisphérique
hydraulique
le décollement de la membrane arachnoïdienne est responsable d’un trouble de la résorption du LCS ; il existe donc une accumulation de LCS sous pression similaire à la pseudo-tumor cerebri
ceci rend compte de l’absence de corrélation entre le volume de l’HSD et la pression intra-crânienne, qui est souvent très élevée.

diagnostic
clinique
la grande majorité des cas se révélait par une HTIC, parfois sévère avec baisse de vision ; nombre de patients étaient donc adressés en urgence après avoir consulté l’ophtalmologue. 
l’imagerie
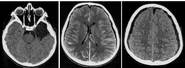
on retrouve une collection sous-durale hypodense, qui n’exerce pas d’effet de masse sur la ligne médiane si elle est bilatérale (Cf. ci-dessus), amis il existe un effacement des sillons et des citernes.
l’imagerie peut être trompeuse, l’HSD étant souvent isodense au cerveau et pouvant masquer totalement le kyste ; ce dernier n’est parfois visible qu’après évacuation de l’HSD, on en étudiant attentivement le scanner en coupes osseuses : on retrouve alors un scalopping de la grande aile du sphénoïde (Cf. ci-dessous)
l’IRM donne des informations précieuses sur le contenu liquidien, albumineux, hématique ou limpide, mais étudie beaucoup moins bien l’os que le scanner.
traitement
les collections découvertes fortuitement peuvent parfois être simplement surveillées si le fond d’oeil est normal.
en cas d’HTIC, le traitement chirurgical est indiqué, parfois en urgence ; selon l’aspect du liquide en IRM, on décidera
- un drainage sous-dural externe pour les liquides très hématiques
- un drainage sous-duro-péritonéal
- avec valve si liquide eau-de-roche
- sans valve si liquide hémorragique ou albumineux
le drainage du kyste seul est le plus souvent voué à l’échec : l’existence de l’HSD montre qu’il existe un problème de résorption du LCS, le kyste est dès lors un problème dépassé.
retour à la page kystes arachnoïdiens et autres kystes




Commentaires récents