synonymes : SEGA – ACGSE – sclérose tubéreuse – maladie de Bourneville – tuberous sclerosis – TSC

en 2 mots

la maladie de Bourneville est un syndrome de prédisposition tumorale, qui favorise l’apparition de tumeurs cérébrales de bas grade, les astrocytomes à cellules géantes sous-épendymaires (ACGSE ou SEGA). Ces tumeurs progressent lentement, et peuvent provoquer une obstruction du foramen interventriculaire avec hydrocéphalie. lorsqu’elles progressent, elle nécessitent un traitement : soit une chimiothérapie par un anti-angiogénique (l’Everolimus), qui présente divers inconvénients, soit une intervention qui est relativement lourde mais reste le traitement de référence.
pathogénie et anatomie pathologique
il existe deux gènes, TSC1 et TSC2, codant des protéines (la tubérine et l’hamartine respectivement), qui se combinent pour réguler la voie de tumorigénèse mTor, qui est bloquée sélectivement par la rapamycine. le gène TSC2 est de plus contigu avec celui de la polykystose rénale, le phénotype comprend donc par ailleurs une dystrophie polykystique des reins et des anévrysmes intra-crâniens.
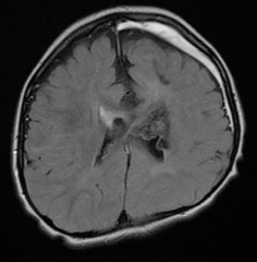
contrairement aux autres nodules ventriculaires de la sclérose tubéreuse ou tuberous sclerosis complex (TSC), ceux qui sont situés à proximité du foramen de Monro peuvent avoir une progression tumorale. cette progression tumorale est non linéaire (cf. ci-contre) et relativement imprévisible, elle est liée à la croissance et devient exceptionnelle à l’âge adulte.
l’ACGSE est un astrocytome de grade 1, qui présente une croissance lente voire peut rester quiescent de façon durable.
le diagnostic de maladie de Bourneville
- on peut avoir la notion familiale de la maladie
- parfois le diagnostic est fait en anténatal sur les rhabdomyomes cardiaques, qui involuent souvent spontanément et ne nécessitent pas de prise en charge
- parfois la tumeur est diagnostiquée devant une hydrocéphalie obstructive chez un patient non connu comme porteur d’une TSC.

le bilan clinique et paraclinique retrouve :
des lésions de la peau et des muqueuses :
- angiofibromes
- tâches chagrin
- tâches achromiques
- des tumeurs de Koenen à la racine des ongles
- hypertrophie gingivale
des lésions cérébrales :
- dysplasie corticale (tubers)
- nodules sous-épendymaires
- anévrisme (si mutation TSC2)

des lésions d’autres organes :
- rhabdomyomes cardiaques
- angiofibromes rénaux
- polykystose rénale (si TSC2)
- pulmonaires : lymphangioleiomyomatose (à l’âge adulte)

prise en charge thérapeutique
l’indication de traitement
elle dépend de l’évolutivité des lésions : certains patients présentent des tumeurs qui restent stables de façon durable et ne nécessitent pas de traitement.
à l’inverse, une tumeur qui grossit peut devenir menaçante en empiétant sur le foramen de Monro (Cf. ci-contre), car il existe un risque de décompensation aiguë de l’hydrocéphalie.
le traitement médical
il s’agit d’une chimiothérapie par les inhibiteurs de la voie m-Tor (Everolimus), qui ont un effet anti-angiogénique, et permettent de bloquer le croissance tumorale au niveau des SEGAs, mais également des angiofibromes cutanés et des lésions rénales ; le traitement médical a cependant cependant plusieurs inconvénients :

- son coût élevé
- sa durée indéfinie
- le rebond tumoral à l’arrêt du traitement
- les complications à type de saignement, d’aphtose
pour ces différentes raisons, le traitement médical est surtout indiqué quand la chirurgie n’est pas possible.
le traitement chirurgical
il s’agit d’une chirurgie relativement lourde mais qui permet l’exérèse radicale de la tumeur. elle peut également être pratiquée de façon bilatérale en cas de tumeurs progressant des 2 côtés ; il est en effet préférable d’éviter une réintervention à distance en
raison des adhérences post-opératoires.
l’abord le plus utilisé est la voie trans-calleuse, qui permet si nécessaire une exérèse des 2 côtés en fenestrant le septum.
la tumeur est en règle implantée en avant du pilier du fornix, elle est vascularisée par des artérioles venant des perforantes. elle se clive en général facilement d’avec la veine thalamo-striée.
pour en savoir plus : ouvrir la page sur la chirurgie des tumeurs des ventricules latéraux
cette chirurgie est grevée de complications, en particulier hydrauliques surtout chez les nourrissons.
résultats oncologiques
il s’agit d’une tumeur bénigne qui ne métastase pas cependant il peut exister une récurrence tumorale : soit récidive vraie d’un reliquat tumoral, soit progression d’une autre tumeur
liée à la disposition génétique sous-jacente.
dans l’ensemble les résultats ontologiques sont donc médiocres (Cf. ci-contre), malgré la bénignité histologique de ce type tumoral.
les résultats cliniques
ils sont également modestes en raison du terrain sous-jacent (souvent encéphalopathie épileptique de la petite enfance).

Commentaires récents