synonymes : brain abscess
en 2 mots
les abcès cérébraux sont peu fréquents mais peuvent survenir chez n’importe quel enfant, en l’absence de tout facteur de risque. la contamination peut être d’origine ORL, hématogène, ou une porte d’entrée locale comme une fistule dermique ou une plaie souillée. le traitement est médico-chirurgical. la chirurgie a pour buts d’évacuer le pus et d’identifier le germe, elle doit être faite en urgence et parfois répétée.
étiopathogénie
on distingue plusieurs entités cliniques
- les abcès d’origine ORL : sinusite ou otite, les plus commun, parfois favorisés par un traitement anti-inflammatoire intempestif.
- les abcès du nouveau-né, dans un contexte de méningite néonatale ou d’infection sur cathéter
- les abcès de cause locale : fistule dermique, inoculation traumatique

- les abcès d’origine hématogène : ils surviennent dans un contexte connu de cardiopathie cyanogène (devenue un cause rare d’abcès en raison des progrès de la chirurgie cardiaque), une fistule artérioveineuse pulmonaire (syndrome de Rendu-Osler) ou une infection bronchique chronique comme dans le syndrome de Kartagener.

bactériologie
le ou les germes dépendent de la porte d’entrée. chez le nouveau-né, il s’agit le plus souvent d’une entérobactérie ; on note la nocivité particulière du citrobacter qui tend à provoquer des abcès multiples. dans les contaminations d’origine ORL, ils s’agit le plus souvent de germes anaérobies comme des streptocoques non groupables, souvent associés à des fusobactéries, au total on a souvent de multiples germes avec au moins un anaérobie ; inversement, la culture peut être négative en raison de la fragilité du germe ou d’une antibiothérapie préalable.

anatomie pathologique
à partir de la porte d’entrée, la prolifération bactérienne provoque une thrombophlébite qui entraîne un ramollissement réalisant une encéphalite pré-supurative. Cette nécrose devient une collection abcédée. en raison de la progression de l’abcès et de l’œdème réactionnel, un engagement peut survenir très rapidement.

la rupture intra-ventriculaire (IVROBA : IntraVentricular Rupture Of Brain Abscess) correspond à la contamination des cavités ventriculaires avec une aggravation clinique majeure, tableau méningé aigu ; autrefois, l’IVROBA était considérée constamment fatale.

diagnostic
la présentation clinique est généralement bruyante voire suraiguë, avec
- un tableau septique sévère
- une hypertension intracrânienne avec troubles de conscience
- parfois des signes de localisation
- une épilepsie
devant un abcès cérébelleux médian, il ne faut pas oublier de rechercher une fistule dermique occipitale.
l’imagerie
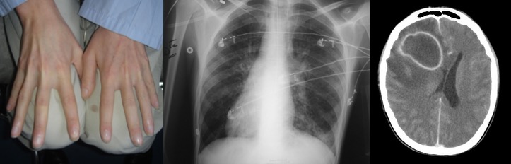
le scanner n’est pas suffisant mais il peut montrer des signes d’ostéite en regard d’une sinusite. Le T1 injecté montre une prise de contraste en anneau mais peut faire errer vers un diagnostic de tumeur ; la séquence de diffusion montre un aspect très évocateur avec restriction de la diffusion.
pour la prise en charge chirurgicale on s’attachera à rechercher :
- des signes d’engagement
- une prise de contraste méningée en regard d’un sinus qui signifie un risque de réinfection par une porte d’entrée persistante
- une prise de contraste épendymaire traduisant une IVROBA
prise en charge
l’abcès cérébral est une urgence vitale à traiter « avant le coucher du soleil » (Clovis Vincent) ; c’est un traitement médico-chirurgical nécessitant une hospitalisation en réanimation.
la chirurgie

elle consiste au minimum en une ponction de l’abcès, par trépanation, éventuellement guidée par neuronavigation, ou par ponction trans-fontanellaire éventuellement sous contrôle échographique. il s’agit le plus souvent d’une urgence chirurgicale en raison du risque d’aggravation rapide au plan neurologique comme au plan infectieux.
en pédiatrie, on note cependant que plus de la moitié des patients nécessitent une craniotomie, en raison :
- d’une récidive rapide après ponction
- d’une topographie peu accessible à la ponction
- d’un diagnostic erroné (tumeur)
pour fermeture de la porte d’entrée
au total, de nombreux patients nécessitent plus d’une intervention (ci-contre).
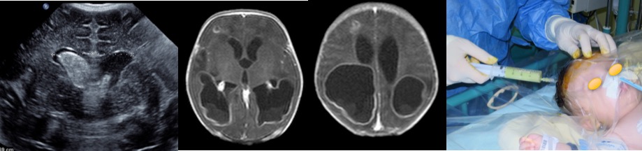
chez le nouveau-né
on peut réaliser une ponction percutanée au lit du patient en réanimation (Cf. ci-dessus), qui peut être utilement guidée par l’échographie (Cf. ci-dessous)

l’antibiothérapie
elle est prescrite de façon probabiliste (en fonction du ou des germes attendus, puis adaptée aux germes isolés, par voie intra-veineuse et prolongée plusieurs semaines, sa durée sera déterminée en fonction de l’évolution en imagerie. on note qu’après craniotomie et excision de l’abcès, l’imagerie est normalisée très rapidement.
devenir
chez le nourrisson, le pronostic développemental est très réservé en raison de la gravité de la méningite initiale, du terrain pré-existant, et des complications ultérieures comme l’hydrocéphalie cloisonnée et l’épilepsie pharmaco-résistante.
par contre, chez l’enfant plus grand, malgré la gravité de la phase initiale, le pronostic est en général excellent. ceci confirme la nécessité d’une prise en charge agressive à la phase aiguë. il peut malgré tout persister une épilepsie en rapport avec les phénomènes cicatriciels.

Commentaires récents