synonymes : pseudo-tumor – hypertension intracrânienne bénigne – HTIC bénigne – Idiopathic intracranial hypertension – IIH
en 2 mots
il s’agit d’une hypertension intra-crânienne provoquée par un défaut d’absorption du liquide cérébro-spinal (LCS). le principal problème est le retentissement visuel, car il existe un oedème du nerf optique qui peut évoluer vers la cécité.
physiopathologie
la pseudotumor cerebri résulte d’un défaut de résorption du LCS, en raison d’une hyperpression veineuse, de cause malformative, à la suite d’une inflammation ORL, de l’obésité. certains médicaments comme les corticoïdes, la vitamine A, les cyclines peuvent également provoquer une HTIC bénigne ; c’est dire que le patient type est souvent l’adolescent(e) replet(e) traité(e) pour acné par cyclines et rétinoïdes…
le gradient de pression s’exerce aux interfaces de la cavité crânienne : le canal optique avec oedème papillaire, et le foramen occipital avec engagement.

le gradient de pression au niveau du canal optique provoque une dilatation de la gaine arachnoïdienne du nerf optique, un aplatissement du globe, un oedème du nerf optique avec une souffrance se traduisant par une perte neuronale, une baisse de vision puis une atrophie.
l’engagement rostro-caudal provoque un étirement du nerf abducens (ci-contre), à l’origine de la diplopie, et un engagement tonsillaire chronique : la malformation de Chiari est ainsi souvent intriquée à l’HTIC bénigne. conceptuellement, il existe un continuum entre les entités : pseudotumor, Chiari, et arachnoïdomégalie, avec des zones de recoupement comme schématisé ci-dessous :

l’HTIC provoque une hernie des villosités arachnoïdiennes dans les sinus veineux, bloquant leur circulation ; ceci enclenche donc un cercle vicieux (ci-dessous) ; inversement la décompression (possiblement par une simple PL) permet de réduire la hernie intrasinusienne et de rétablir le drainage veineux , réalisant un cercle vertueux (cf. infra).

diagnostic
l’HTIC bénigne se révèle surtout par des manifestations ophtalmologiques avec baisse de vision, il existe également souvent une diplopie par étirement du VI. les céphalées sont souvent présentes, mais peuvent manquer en particulier chez le jeune enfant (qui a oublié ce qu’était l’absence de douleurs).
le diagnostic ophtalmologique
nécessite un spécialiste entraîné, pour affirmer l’œdème (qui peut peut être d’apparition tardive), formuler le pronostic et le degré d’urgence ; le principal diagnostic différentiel est avec les druses de la papille (de l’allemand Drusen, glandes). l’angiofluorographie et l’OCT (optical coherence tomography), les potentiels évoqués visuels nécessitent une grande expertise en neuro-ophtalmologie. 
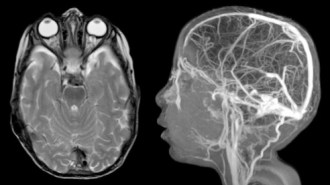
l’imagerie

elle élimine un processus tumoral et une hydrocéphalie ; elle montre la dilatation de la gaine arachnoïdienne du nerf optique, un aplatissement du globe, un soulèvement de la papille du nerf, une arachnoïdocèle intra-sellaire, une déformation du tronc cérébral.

elle étudie le drainage veineux qui peut être très anormal avec sténose ou atrophie des sinus avec circulation collatérale (ci-dessus), et hernie de villosités dans les sinus (ci contre).
la mesure de la pression
peut se faire par :
- ponction lombaire : à la fois diagnostique et thérapeutique, mais peu fiable, il existe un risque de faux négatif, d’autant que la pression peut varier dans la journée. on analyse le LCS qui doit être normal.
-

HTIC variable avec plateaux nombreux, sévères et prolongés mesure directe par capteur parenchymateux : invasive, nécessitant une hospitalisation en soins intensifs, mais permettant une mesure fiable, et un cycle sur le nycthémère qui met en évidence des plateaux, notamment pendant le sommeil paradoxal.
le traitement
le traitement de la cause

(obésité, lésion ORL, arrêt des médicaments en cause) est indispensable.
le Diamox (acétazolamide)
il permet de diminuer la sécrétion de LCS et de diminuer la pression ; il est efficace à la dose de 10mg/kg/jour en 3 prises régulièrement réparties sur le nycthémère (en réveillant l’enfant), jusqu’à 30mg/kg/j, mais souvent mal toléré surtout chez le petit enfant en raison de l’acidose.
le traitement endovasculaire
il consiste à dilater les sinus obstrués par les villosités arachnoïdiennes ; ce traitement est relativement invasif et son efficacité est souvent transitoire.
le drainage du LCS
- la PL : à la fois diagnostique et thérapeutique, elle peut suffire à traiter une HTIC bénigne fugace en enclenchant le cercle vertueux (ci-dessus) ; elle peut être répétée si besoin
- le drainage lombo-péritonéal : préféré en raison de la petite taille ventriculaire, il est contre-indiqué en cas d’engagement tonsillaire ; en théorie, il peut lui-même provoquer un Chiari en créant un gradient de pression rostro-caudal.
- le drainage ventriculo-péritonéal (assisté par la neuronavigation car les ventricules sont petits)
les drainages implantés ont pour inconvénient, chez le jeune enfant, de compromettre la croissance crânienne ultérieure. de plus, le patient reste dépendant du drainage a priori à vie.
la cranioplastie
c’est l’option maximaliste, mais elle est très rapidement efficace. on réalise une avancée frontale seule ou associée à une transposition pariétale, on peut également réaliser un fraisage de la table interne qui contribue de façon importante à l’effet décompressif, assouplit la voûte, et réduit l’avancée frontale et donc l’impact morphologique.

c’est une intervention lourde mais qui permet de réduire durablement l’HTIC en brisant le cercle vicieux et éviter la pose d’un drain.





Commentaires récents