synonymes : diagnostic prénatal – prenatal diagnosis
en 2 mots
l’hydrocéphalie peut souvent être diagnostiquée à l’échographie anténatale car le liquide ventriculaire est particulièrement trans-sonique ; les mesures répétées de la taille ventriculaire permettent de juger de l’évolutivité. le pronostic dépend de la cause et de l’évolutivité.
les causes d’hydrocéphalie anténatale
l’hydrocéphalie anténatale peut être de cause :

- infectieuse, causée par une infection materne-foetale : TORCH (Toxoplasmose, « Others », Rubéole, Cytomégalovirus, Herpès), Zika…
- hémorragique (incompatibilité foeto-maternelle rhésus)
- malformative
- myéloméningocèle
- sténose de l’aqueduc : qui a unu pronostic plus péjoratif en prénatal car elle s’intègre dans un cadre malformatif vrai
-
- Cf. syndrome de Bickers Adams chez le garçon)
- unilatérale par sténose du foramen de Monro

(Cf. ci-contre)
l’hydrocéphalie peut donc être, non pas le problème principal, mais la partie émergée de l’iceberg.
le diagnostic
il est fait sur une augmentation de taille du carrefour ventriculaire ou atrium, qui est normalement inférieur à 10 mm, et qui reste à peu près stable au cours de la grossesse. on parle d’hydrocéphalie quand la taille ventriculaire atteint 12 mm. la progression en taille d’une échographie à l’autre est un élément majeur de pronostic.
le périmètre crânien est généralement augmenté, et il augmente au delà des valeurs normales au cours de la grossesse ; si le PC reste normal il faut envisager une ventriculomégalie de cause médicale.
ce qu’il faut rechercher
- l’évolutivité comme mentionné ci-dessus
- les lésions associées

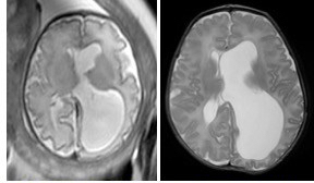
- cérébrales : corps calleux, cervelet, kyste, hétérotopies… ce qui nécessite rapidement une IRM
- spinale : myéloméningocèle+++
- main, surtout chez le garçon : pouce en adduction dans le Bickers-Adams
- les autres organes : reins, coeur…
le pronostic
il dépend :
- de l’étiologie : pronostic défavorable des hydrocéphalies de cause systémique (infection materno-foetale)
- de l’évolutivité de l’hydrocéphalie
- des lésions cérébrales associées

hydrocéphalie associée à une lissencéphalie de type double cortex - des lésions extra-cérébrales parfois dans le cadre d’un syndrome polymalformatif (spina bifida, infection materno-foetale)





Commentaires récents