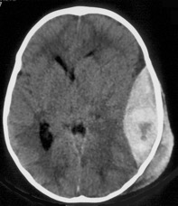
synonymes : hématome épidural – epidural hematoma
c’est un geste salvateur, qui n’est pas l’apanage du seul neurochirurgien mais qui doit parfois être pratiqué en extrême urgence par un chirurgien général. lorsque c’est le cas, la patient doit ensuite être transféré au plus vite dans un service de neurochirurgie pour terminer l’intervention (hémostase durale suspensions) et gérer le suivi au plan réanimatoire et neurochirurgical.
principes de la chirurgie
chez un patient ventilé, stabilisé au plan tensionnel, en ayant à disposition du sang pour transfuser (O- si pas de groupe)

disponible) ; en cas de passage en mydriase, on passe du mannitol intraveineux (1/kg) en prévoyant de sonder.
- décomprimer le cerveau au plus vite
- par une craniotomie (ou une craniectomie au moins)
- le « trou de trépan salvateur » est un mythe
- faire l’hémostase
- d’une artère méningée parfois, plus souvent de l’os et des veines durales
- suspendre la dure-mère
- reconstruire la voûte
technique
l’incision du scalp
- du côté de la mydriase si on ne doispose pas d’imagerie

exposition crânienne
- en sous périosté à l’aide d’une rugine (cf. ci-contre)

- le muscle temporal se décolle du bas vers le haut pour respecter le plan nacré des fibres tendineuses d’insertion, qui est un périoste fertile et permettra une parfaite reconstitution de la voûte
- on repère les sutures : coronale, pariéto-squameuse qui limitent souvent l’HED ; sagittale qui définit la ligne médiane

- on identifie la fracture qui est souvent en regard du saignement intra-crânien
- parfois l’hématome est visible par transparence à travers l’os mince de l’enfant (Cf. ci-contre)
la craniotomie
- elle commence par un ou plusieurs trous de trépan, qui permettent de confirmer la position de l’hématome
- on peut commencer à décomprimer l’HED par aspiration par le premier trou de trépan
- pas de nécessité de décollement dural
- la craniotomie est menée au craniotome (en son absence, au fil-scie de Gigli) pour réunir les trous de trépan
le temps intra-crânien
- évacuation de l’hématome à l’aspiration ou à la spatule
- attention )à la chute tensionnelle au moment de la décompression cérébrale
- hémostase des vaisseaux duraux
- souvent une branche de l’artère méningée moyenne
pour les HED à cheval sur un sinus : s’attendre à un saignement veineux abondant, prévoir une hémostase des veines par suture de prolène ; ne pas coaguler car cela élargit le trou ; en cas de saignement veineux, relever la tête du patient pour abaisser la pression veineuse – pas trop, risque d’embolie gazeuse.
- suspension de la dure-mère aux berges du volet
- en utilisant un monofilament avec aiguille ronde pour éviter les fuites de LCS
- lorsque l’HED est très étendu, au-delà des limites de la crâniotomie, on peut faire plusieurs rangées de suspensions Cf.ci-dessous.

la fermeture

- reconstruction du volet en synthésant la fracture
- suspension centrale (ou plusieurs en cas de grand volet)
- fixation du volet au fil résorbable
- pour bien affronter les corticales externes, on réalise des trous obliques sortant dans le diploé
geste discuté
le drain aspiratif : il risque de provoquer un saignement important, et d’aspirer du liquide méningé
gestes à éviter
- l’ouverture de la dure-mère
- on sait d’après le scanner que l’hématome est bien extra-dural ; l’ouverture de la dure-mère dans ces conditions de chirurgie d’extrême urgence fait courir un risque de sepsis méningé.
- la fixation du volet par matériel d’ostéosynthèse
- du fait de la croissance ultérieur, le matériel va progressivement se retrouver en intracrânien puis en intra-dural.
pour en savoir plus
assister au cours sur la craniotomie chez le tout-petit
retour à la page hématome extra-dural




Commentaires récents