synonyme : hydrocéphalie obstructive (faux ami) – acqueduct stenosis
en 2 mots
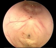
il s’agit d’une hydrocéphalie obstructive, liée à une lésion malformative, cicatricielle ou tumorale de l’aqueduc de Sylvius, un passage obligé pour le liquide cérébro-spinal (LCS) ; cette hydrocéphalie est souvent mal tolérée cliniquement du fait d’un gradient de pression entre différentes régions du cerveau. Le traitement de choix est la ventriculo-cisternosomie endoscopique, qui permet de rediriger le LCS vers les espaces méningés, mais ce traitement est souvent inefficace chez les petits nourrissons
histopathologie

- lésions malformatives : rares, associées à d’autres malformations, de pronostic réservé
- lésions cicatricielles post-infectieuses ou post-hémorragiques, en rapport avec un épisode identifié ou non (hypothèse d’événement en période périnatale)
- lésions tumorales : dysplasie ou tumeur de la lame tectale du mésencéphale
étiologies
la majorité des lésions sténosant l’aqueduc sont dysplasiques, mais il existe également des tumeurs gliales de bas grade, le plus souvent non évolutives mais qui nécessitent une surveillance. la lésion peut être masquée initialement par l’importance de l’hydrocéphalie et n’être découverte que sur l’IRM postopératoire.
la sténose de l’aqueduc peut être associée à la NF1, avec lésion tumorale ou non de la lame tectale
la sténose de l’aqueduc peut s’intégrer dans un contexte syndromique, en particulier le syndrome de Bickers et Adams, chez le garçon, par mutation du gène L1CAM porté par l’X, avec retard développemental majeur et troubles digestifs graves par achalasie

diagnostic
c’est une hydrocéphalie obstructive, souvent mal tolérée cliniquement, mais évoluant parfois de façon chronique.
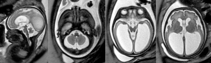
diagnostic anténatal
il est rare, la sténose est plus souvent d’origine malformative, avec un pronostic développemental réservé du fait :
- de l’évolutivité de l’hydrocéphalie

sténose de l’aqueduc associée à une malformation du cervelet (rhombencephalosynapsis) - des possibles malformations cérébrales associées, pas forcément visibles sur l’imagerie
- du possible contexte syndromique (cf. syndrome de Bikers et Adams ci dessous)
diagnostic post-natal
la sténose de l’aqueduc peut se présenter de façon aiguë voire suraiguë avec engagement; parfois au décours d’une PL

à l’inverse, on rencontre également une présentation lente sous forme d’hydrocéphalie chronique avec macrocrânie, difficultés scolaires, troubles du mouvement et troubles neuro-endocriniens.
traitement chirurgical
c’est l’indication reine de la ventriculo-cisternostomie endoscopique. cette intervention est efficace, avec amélioration clinique nette et rapide, dans la grande majorité des cas.
cependant, un certain nombre de patients sont porteurs d’une hydrocéphalie mixte, obstructive et communicante, que l’endoscopie transforme au mieux en hydrocéphalie communicante ; ces patients nécessiteront alors une valve.
chez les petits nourrissons (en dessous d’un an et surtout de 6 mois), le taux d’échec primaire est important et on préfère la pose d’une valve ; on retient toutefois qu’en cas de dysfonctionnement de valve ultérieur, il sera souvent possible de faire une endoscopie d’indication secondaire avec succès.



Commentaires récents