synonymes : dysfonctionnement de valve ; shunt obstruction ; shunt failure
en 2 mots
c’est la complication de valve la plus fréquente ; elle peut entraîner des séquelles neurologiques, visuelles (atteinte du nerf optique, neurologiques, voire entraîner le décès. les obstructions de valve conduisent à un nombre plus ou moins importants de réinterventions au cours de la vie de l’enfant ; le risque est maximal pendant la première année de vie, il diminue ensuite fortement mais n’est jamais nul.
l’entourage de l’enfant, puis l’enfant lui-même doivent apprendre à reconnaître les signes d’obstruction de valve qui sont le plus souvent :
- des maux de tête, survenant en particulier le matin au réveil
- puis des nausées et des vomissements, ces derniers calment les céphalées
- puis une somnolence qui est un signe d’alarme
le tout évoluant de façon progressive, sur quelques jour ou même quelques heures, motivant une consultation en urgence et un avis neurochirurgical.
physiopathologie
l’obstruction peut siéger au niveau :
- du cathéter ventriculaire : par le plexus, l’épendyme, du sang, de la fibrose ; elle est favorisée par l’hyperdrainage
- du corps de valve : par du sang, soit après la pose de la valve, soit à distance par saignent d’un plexus choroïde accroché à la valve et étiré par le croissance de l’enfant (cf. ci-dessus)
- du cathéter péritonéal : par de la graisse épiploïque
du fait de la valve, le LCS n’est plus absorbé du tout par les méninges, la présentation clinique de l’obstruction de valve sera donc beaucoup plus rapide que la présentation initiale de l’hydrocéphalie.
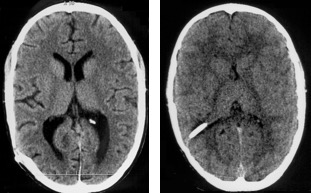
de plus, le cerveau valvé a souvent perdu toute compliance (il est devenu rigide), les ventricules ne vont donc pas se dilater beaucoup, il existe donc un risque de sous-estimer la pression en regardant le scanner, surtout si on ne dispose pas d’une imagerie de référence.
diagnostic
clinique
c’est une tableau d’hypertension intracrânienne de rapidité d’installation très variable, parfois sur quelques heures, parfois très chronique avec augmentation du PC, baisse du rendement scolaire.
les céphalées sont très banales chez le patient valvé, et il faut savoir reconnaitre celles qui orientent vers une obstruction de valve.
le fond d’oeil n’a de valeur que positif, il est négatif dans 75% des cas d’HTIC ; de plus, si la patient a présenté un oedème papillaire auparavant, il peut exister une atrophie optique séquellaire qui empêche l’oedème d’apparaître.
imagerie

le scanner ou l’IRM montre une dilatation ventriculaire, mais il est important de connaitre la taille ventriculaire de base en disposant du scanner de référence
les radios standard de valve peuvent montrer une déconnexion, qui n’est pas pas forcément associée à une obstruction (il y a des faux positifs et des faux négatifs)
diagnostics différentiels
- l’hyperdrainage, qui entraîne en général une clinophilie ; attention toutefois aux céphalées positionnelles de l’HTIC qui peuvent prendre le masque d’une clinophilie
- l’infection de valve, qui n’entraîne souvent pas de syndrome infectieux
- la migraine, les céphalées chroniques quotidiennes par abus d’antalgiques (qui entraînent parfois des céphalées au réveil liées à la dépendance) , les autres causes de céphalées

traitement
il est chirurgical, le plus souvent urgent ou semi-urgent.
il est détaillé sur la page révision de valve. on se prépare de principe à changer tout le shunt ; l’intervention a un but diagnostique (rechercher la cause de l’obstruction) et thérapeutique : réparer ou de préférence changer la partie du shunt qui est le siège de l’obstruction.
l’obstruction de valve peut être une opportunité de réaliser un traitement endoscopique ; celui-ci est justifié :
- si le patient a déjà eu plusieurs révisions de valve
- si le bilan initial faisait suspecter une hydrocéphalie obstructive
- si l’imagerie présente suggère une obstruction (ci-contre)
retour à la page complications de valves

Commentaires récents