en 2 mots
ces tumeurs rares se comportent de façon très différentes selon leur localisation. il peut s’agit de gliomes diffus, non extirpables et nécessitant une biopsie suivie de radiothérapie et de chimiothérapie ; ou de lésions focales de bas grade et de bon pronostic, nécessitant une chirurgie d’exérèse et/ou une chimiothérapie, ou parfois une simple surveillance.
nosologie
on distingue :
- les lésions gliales du tectum pédonculaire, gliomes de bas grade ou dysplasie, révélés par une hydrocéphalie obstructive
- les gliomes focaux, surtout bulbaires, parfois pédonculaires, de bas grade et souvent extirpables chirurgialement
- les gliomes diffus, généralement de haut grade et de mauvais pronostic
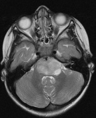
les gliomes diffus du tronc cérébral
synonymes : DIPG (Diffuse Infiltrating Pontine Glioma), gliome protubérantiel
l’histopathologie est le plus souvent de type astrocytome de grade 3 ou 4, avec ou sans mutation d’histone H3.3K27M. ce sont donc des tumeurs de haut grade, rapidement évolutives.
la présentation clinique est stéréotypée : apparition en quelques semaines de troubles de la marche (ataxie cérébelleuse), paralysie faciale, troubles oculomoteurs. l’Imagerie est caractéristique avec augmentation diffuse du volume de la protubérance, englobant l’artère basilaire, avec parfois une prise de contraste qui en en faveur d’un grade 4.
ces tumeurs ne sont pas extirpables, la chirurgie se limite à :
- des biopsies pour diagnostic histo-pathologique et en biologie moléculaire ; la recherche de cibles de biologie moléculaire pour une thérapie ciblée (protocole BIOMEDE) est la principale voie de recherche faisant espérer une amélioration du pronostic.
- le traitement de l’hydrocéphalie si nécessaire : idéalement par ventriculo-cisternostomie endoscopique
le traitement est basé sur la radiothérapie, et de plus en plus la chimiothérapie ciblée basée sur les marqueurs de biologie moléculaire.
malgré ces traitements, le pronostic est globalement défavorable.
les lésions gliales de bas grade

ce sont le plus souvent des gliomes de bas grade, généralement astrocytome pilocytique, plus rarement gangliogliome ou astrocytome diffus.
on distingue au sein de ce groupe de tumeurs des entités anatomo-cliniques bien distinctes :
le gliome de la lame tectale
il peut s’agir d’une lésion dysplasique (augmentation de volume diffuse, sans prise de contraste, qui ne progresse pas) ou d’un gliome de bas grade (le plus souvent pilocytique) : c’est donc l’évolution qui permet de distinguer ces deux types de lésion.
il se révèle par une hydrocéphalie obstructive, que l’on traite par endoscopie ; quant à la tumeur, on se contente le plus souvent de la surveiller, elle progresse rarement. on discute alors de biopsies puis d’un traitement par chimiothérapie, voire radiothérapie. ces lésions nécessitent parfois une exérèse : selon la topographie, médiane ou latérale, on abordera ces lésions par une voie d’abord de la région pinéale ou une voie latérale sous-temporale
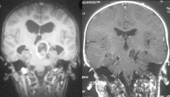
l’astrocytome bulbo-médullaire
c’est le plus souvent un astrocytome pilocytique, parfois un gangliogliome. il se révèle de façon lentement évolutive par des signes d’atteinte des voies longues, des nerfs mixtes, des symptômes cérébelleux. parfois, il existe une anorexie avec retard pondéral majeur réalisant un syndrome de Russell (cachexie pseudo-diencéphalique).
pour en savoir plus : Anorexia: an early sign of fourth ventricle astrocytoma in children.
il peut être bien limité, en particulier avec des kystes ; il nécessite alors souvent un traitement chirurgical.
le gangliogliome du tronc et du cervelet
c’est une tumeur très infiltrante, lentement évolutive, mais inextirpable et peu sensible aux chimio et radiothérapies. une exérèse « à la demande » peut être nécessaire en cas de progression d’un bourgeon tumoral ou d’un kyste.
la prise en charge de ces gliomes de bas grade
elle est pluridisciplinaire.
le traitement oncologique repose sur :
- la chirurgie d’exérèse si elle est possible sans risques majeurs
- la radiochirurgie est une alternative à la chirurgie d’exérèse sur un nodule tumoral non accessible et de faible volume
- la chimiothérapie qui est souvent efficace et est préférée chez les enfants en bas âge
- la radiothérapie, qui est administrée le plus tard possible mais reste un traitement de recours efficace
la prise en charge ORL, ophtalmologique et en médecine physique est fondamentale pour améliorer la vie quotidienne de ces patients chroniques.

Commentaires récents