synonymes: plaies crânio-cérébrales – penetrating head trauma
en 2 mots
le traumatisme pénétrant n’est pas toujours reconnu immédiatement car l’histoire clinique est souvent peu précise et que la porte d’entrée peut sembler insignifiante. Il existe donc un risque d’infection neuro-méningée important.
diagnostic
les plaies et traumatismes crâniens sont d’une grande banalité, et il faut parvenir à ne pas laisser passer, dans le flot des urgences, le cas qui nécessite une prise en charge urgente et agressive.
les lésions au point d’entrée peuvent facilement être sous-estimées, lorsqu’il s’agit d’une plaie cutanée ponctiforme, ou non visible en cas d’entrée dans les narines ou l’oreille.
les lésions rencontrées
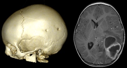
- lésions de la convexité du crâne

morsure par grand chien (dogue allemand) ; un mois plus tard, l’enfant présente un abcès cérébral grave avec ventriculite - lésions de l’étage antérieur

chute sur un branche de thuya dans la narine gauche, brèche ostéo-durale de l’étage antérieur avec pneumocéphalie - lésions de l’étage moyen

plaie pénétrante de la paupière inférieure gauche. A, B : l’imagerie montre des lésions intracrâniennes liées à une pénétration par la fente sphénoïdale, dans le sinus caverneux et la cavité crânienne. C : plaie et spasme de la carotide gauche. D, E : développement progressif d’un anévrisme traumatique de la carotide, F : traitement de l’anévrysme par embolisation - lésion de l’étage postérieur de la base du crâne


Commentaires récents