
il existe un grand nombre d’anomalies vasculaires qui touchent de près ou de loin à la neurochirurgie pédiatrique.
la classification de Lasjaunias
le regretté Pierre Lasjaunias a proposé une classification très inclusive permettant de donner un sens à ce vaste ensemble de pathologies diverses, syndromiques ou non, en fonction du moment de survenue de l’anomalie et de l’atteinte artérielle, veineuse, ou capillaro-veineuse.

le syndrome de Sturge-Weber-Krabbe
autrefois rattaché aux phacomatoses, il en est actuellement détaché car il n’est ni un syndrome de prédisposition tumorale, ni génétique.
il associe un angiome flamme du visage, généralement unilatéral, un angiome rétinien, et une angiomatose méningée. Cette dernière peut être responsable d’une épilepsie pharmaco-résistante et justifier une chirurgie majeure de déconnexion. 
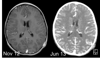
le sinus pericranii
il s’agit d’une communication tans-osseuse entre les veines intra et extra-crâniennes. il existe parfois une vaste poche sous-cutanée qui peut nécessiter une résection chirurgicale.

le sinus pericranii peut se thromboser spontanément

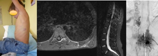
les angiopathies métamériques

intéressant les territoires céphaliques, les CAMS (Cerebrofacial Arteriovenous Metameric Syndromes) correspondant aux 3 divisions du trijumeau (CAMS 1, CAMS 2 et CAMS 3), ils comportent une composante angiomateuse cérébrale, méningée et cutanée. il existe également un SAMS (Spinal Arteriovenous Metameric Syndrome) qui correspond au syndrome de Cobb.


Commentaires récents