en 2 mots
on peut rencontrer ces kystes en anténatal ou en post-natal.
il peuvent se manifester de façon très chronique ou au contraire très aiguë ; le traitement de choix est la fenestration endoscopique.
anatomie pathologique
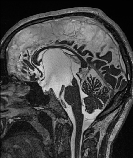
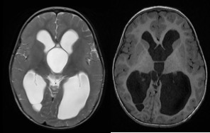
le kyste est développé dans un dédoublement de la membrane Liliequist, il soulève le plancher du V3 et se développe dans le 3ème ventricule, voire les ventricules latéraux.
c’est le meilleur exemple de kyste arachnoïdien avec mécanisme de clapet arachnoïdien qui trappe le LCS dans le kyste ; on le constate de visu lors de l’intervention endoscopique.

il entraîne donc une hydrocéphalie en principe obstructive ; en fait, il peut s’associer à une part d’hydrocéphalie dite communicante, et un certain nombre de patients ne sont donc pas guéris avec le seul traitement du kyste, ils nécessitent alors la pose d’une valve dans les suites.
diagnostic
il existe plusieurs cas de figure :
- le diagnostic anténatal
- hydrocéphalie chronique avec macrocrânie, signes visuels, parfois présentation endocrinienne (troubles de croissance, puberté précoce)
- présentation aiguë avec HTIC sévère, troubles de conscience et baisse de vision, intervention en urgence
traitement
l’endoscopie
elle est réalisée chaque fois que possible. le plus souvent il existe une dilatation ventriculaire qui donne accès au kyste. la fenestation endoscopique permet d’ouvrir le dôme du kyste, d’y pénétrer et d’ouvrir le fond du kyste dans les citernes de la base. Il s’agit donc d’une ventriculo-kysto-cisternostomie.

en post-opératoire, les ventricules restent dilatés, en général non sous pression
on objective la perméabilité des membranes du kyste et du plancher du 3ème ventricule. dans certains cas, une hydrocéphalie communicante peut se révéler secondairement.


visionner l’endoscopie pour kyste arachnoïdien supra-sellaire
en savoir plus sur la chirurgie endoscopique des kystes intra-crâniens
la chirurgie à ciel ouvert
elle est parfois nécessaire quand le kyste est compressif mais qu’il n’y a pas d’hydrocéphalie permettant un abord endoscopique


Commentaires récents