en 2 mots
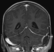
l’empyème est une collection de pus dans l’espace extra-dural. il résulte le plus souvent d’une infection ORL, parfois d’une contamination directe (plaie souillée). c’est une urgence médico-chirurgicale dont le pronostic est très favorable.
histoire naturelle
l’empyème extra-dural résulte d’une ostéite en général d’origine ORL : frontale en regard du sinus frontal,

occipital en regard d’un mastoïdite. au niveau occipital, il existe souvent une thrombophlébite du sinus sigmoïde pouvant
- s’étendre vers le golfe jugulaire
- provoquer une hypertension intracrânienne
- pérenniser et disséminer l’infection
dans ces cas, on discute la mise en route d’un traitement anticoagulant.
diagnostic et prise en charge
il existe souvent un empyème extra-dural de petite taille en regard d’une sinusite frontale ou d’une mastoïdite ; cette collection est évacuée par l’ORL qui draine l’infection dans ces 2 cas, qui ne nécessitent en général pas de prise en charge neurochirurgicale.
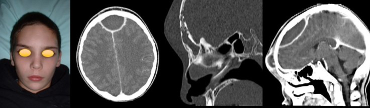
lorsqu’il existe une ostéite frontale importante associée à un empyème volumineux, le tableau clinique est assez caractéristique, avec un oedème fronto-orbitaire massif, chémosis et tableau infectieux sévère : c’est la pseudo-tumeur de Pott (Pott’s puffy tumor).
le diagnostic repose sur l’IRM mais le scanner est nécessaire pour juger de l’étendue de l’ostéite crânienne
il nécessite l’évacuation de la collection purulente et la résection de l’os ostéitique, et une antibiothérapie adaptée et prolongée.
la reconstruction de l’os lysé ne peut être envisagée qu’après un délai d’environ 1 an.



Commentaires récents