synonyme : Down’s syndrome
en 2 mots
la trisomie 21 provoque des anomalies dans de multiples organes, notamment le squelette rachidien. Il peut exister des lésions instables de la charnière cranio-rachidienne avec risque de paralysie nécessitant une intervention dans un but de stabilisation
les lésions cranio-cervicales
il peut s’agir d’une instabilité occipito-C1 ou C1-C2. Ces lésions font courir un risque important de déficit, de survenue chronique ou se décompensant brutalement, spontanément ou à la suite d’un trauma mineur (chute). il peut s’agir d’un atteinte ligamentaire (luxation C1-C2), d’un os odontoideum ou d’un ossiculum terminale.

conduite à tenir
prévention et dépistage
il n’y a pas de consensus concernant l’intérêt d’un dépistage systématique chez les trisomiques. la question de la pratique des sports (ponney) est régulièrement posée, il semble approprié de réaliser des radios standard.
traitement
en cas d’instabilité il est important de :
- réduire la luxation par traction (étrier de gardner ou halo)
- fixer par arthrodèse postérieure
-
- C1-C2 si instabilité limitée
- occipito-cervicale si grande instabilité intéressant C0-C1

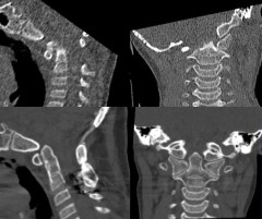
ossiculum terminale chez un enfant trisomique avec instabilité révélé par trauma mineur ; A, B : imagerie à l’admission ; C : contrôle après mise en traction : excellente réduction confiant la grande instabilité ; D, E : arthrodèse occipito-cervicale avec greffe par prélèvement de voûte occipitale -
-

réduction et consolidation après arthrodèse postérieure maintenir une immobilisation par minerve ou halo jusqu’à consolidation osseuse ; les trisomique ont souvent une ostéoporose qui compromet la consolidation.les techniques de fusion cranio-cervicales sont détaillées sur la page fusion crânio-cervicale


Commentaires récents