en 2 mots
lorsque l’épilepsie prend son origine dans l’hippocampe et qu’elle résiste aux traitement médicamenteux, elle peut être traitée efficacement par la résection de l’hippocampe et des structures adjacentes ; il est cependant indispensable de s’assurer :
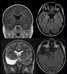
- de la localisation du point de départ de la crise : bonne corrélation entre mises, EEG et imagerie
- de la l’intégrité de l’hippocampe opposé
le devenir neuropsychologique est le plus souvent amélioré après chirurgie en raison de l’arrêt des crises et souvent des traitement.
physiopathologie
l’hippocampe est une structure cérébrale impliquée entre autres dans la perception olfactive et la mémoire ; en raison de son importance fonctionnelle, il y a redondance parfaite entre les côtés droit et gauche (chaque hippocampe est suppléé par le côté contre-latéral).
l’hippocampe lui-même est composé d’archéo-cortex (à 3 couches de neurones) et de paléo-cortex (à 4 couches) ; le néo-cortex adjacent (à 6 couches) peut être également impliqué dans l’épileptogénèse (« dual pathology« ), en particulier chez l’enfant.
l’épilepsie temporale
il s’agit de crises partielles complexes, avec souvent une composante viscérale : douleurs ou sensations abdominales ascendantes, bradycardie, pâleur. l’EEG montre des ondes lentes ; il peut être faussement négatif en raison de la profondeur des structures impliquées.
les lésions rencontrées
- la sclérose mésiale résulte d’une souffrance dans la petite enfance causée par les convulsions fébriles ; l’épilepsie débute généralement dans l’enfance, mais ne devient parfois pharmaco-résistante que tardivement. c’est pourquoi ces lésions apparues dans la petite enfance ne sont malheureusement souvent opérées qu’à l’âge adulte.
- les dysplasies corticales, correspondant à une trouble de l’organisation des différentes couches du cortex ; elles touchent souvent le pôle temporal avec un « blurring » de la lamination entre cortex et substance blanche.
- les tumeurs gliales sont plus fréquentes chez le nourrisson ; il s’agit en général de tumeurs de bas grade, astrocytome, gangliogliome ou tumeur dysplasiques (DNET).
les lésions temporales internes de l’enfant s’accompagnent souvent de lésions néo-corticales intéressant le pôle temporal, soit dysplasiques soit secondaires à l’épilepsie ; c’est pourquoi il est illusoire de vouloir conserver le pôle temporal, exposant à un risque d’échec thérapeutique.
l’intervention
c’est une intervention importante qui nécessite une hospitalisation d’environ une semaine.
l’indication est basée sur la concordance entre la sémiologie des crises, l’imagerie et l’EEG ; en cas de discordance, un monitoring invasif peut être nécessaire.
elle consiste en une résection anatomique de l’hippocampe, du noyau amygdalien, et du pôle temporal.
idéalement, la dissection est menée en sous-pial, afin d’éviter de contaminer les espaces arachnoïdiens par le saignement, et prévenir le risque de vasospasme ; ceci est généralement aisé dans la sclérose mésiale et les dysplasies, beaucoup moins dans les tumeurs ou chez le tout-petit.
il existe un risque de rétrécissement du champ visuel par lésion des radiations optiques au niveau du pédicule temporal ; si la lésion (en particulier les tumeurs gliales) adhère au plan vasculaire et au nerf oculomoteur, il existe en outre un risque de vasospasme et de trouble oculomoteur (en règle transitoire).
la technique opératoire est détaillée sur la page hippocampectomie : technique opératoire
résultats
les résultats sur l’épilepsie
sont le plus souvent très favorables avec 95% des patients sans crises, et une majorité chez qui les traitements peuvent être interrompus (Engel 1A). il est cependant prudent d’attendre un an avant d’arrêter les traitements.

les complications de la chirurgie
ce sont :
- rarement un vasospasme sylvien (ischémie cérébrale retardée), qui survient surtout avec les tumeurs adhérant à l’axe vasculaire (gangliogliome)
- la réduction du champ visuel par atteinte des radiations optiques, rarement invalidante ou même perçue par le patient
- parfois un syndrome dépressif, qui peut être lié à l’hippocampectomie mais aussi résulter paradoxalement de la guérison de l’épilepsie et au changement de statut du patient.
- rarement des troubles cognitifs ; en général, on assise au contraire à une amélioration cognitive du fait de la cessation des crises et l’arrêt des traitements.



Commentaires récents