synonymes : synostose sagittale – sphénocéphalie – clinocéphalie – leptocéphalie – sagittal synostosis
en 2 mots
il s’agit de la plus fréquente des craniosténoses et de la plus simple anatomiquement car elle est monosuturaire et n’intéresse que la voûte du crâne. Le volume intracrânien est conservé, il n’y a en général pas de compression cérébrale, au moins dans la petite enfance.
les indications opératoires sont surtout morphologiques (restaurer une forme normale) mais ont également un but de décompression cérébrale. 
pathogénie
les scaphocéphalies n’ont le plus souvent aucune cause familiale ni génétique. il existe de rares cas familiaux, associés ou non à diverses mutations. on note une prédominance des garçons (4 cas sur 5) ; les cas féminins sont volontiers atypiques.
le crâne est allongé, le front bombant par compensation surtout si la métopique reste perméable, il existe un pincement pariétal avec un cintre pariétal (clinocéphalie) si la fermeture de la sagittale est partielle.
il n’y a théoriquement pas d’hypertension intracrânienne car pas de diminution du volume crânien chez le nourrisson porteur d’une scaphocéphalie : il s’agit d’une craniosténose monosuturaire, bien compensée par les coronales et et lambdoïdes ; en réalité, les cas non opérés présentent souvent un engagement tonsillaire chronique (Chiari cf. ci-dessous) et parfois une vraie hypertension intra-crânienne. en cas d’abstention, il faut donc surveiller ces patients au moins cliniquement.

diagnostic
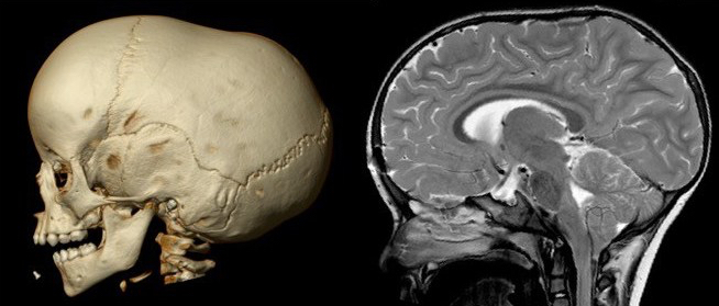
Morphologiquement, il existe un bombement frontal médian associé à un pincement temporal, ainsi qu’un boulet occipital. l’indice céphalique est inférieur à 75%. Le périmètre crânien et en général à la limite supérieure de la normale, voire nettement au dessus car le volume intracrânien est préservé alors que le crâne est allongé. il existe souvent un dysharmonie dento-faciale car le maxillaire en entraîné vers l’avant par l’allongement de la base du crâne (cf. ci-dessus).

le périmètre crânien est souvent supérieur à la normale, ce qui est nécessaire pour maintenir un volume intracrânien normal malgré un indice céphalique diminué. corrélativement, si le PC est à la moyenne, il risque d’exister d’emblée une compression cérébrale.
le scanner est nécessaire pour s’assurer de l’absence de fermeture d’une autre suture et de la normalité du contenu crânien.
diagnostic tardif
dans les formes avec retentissement morphologique modéré, le diagnostic peut être fait tardivement devant des complications.
lorsque le diagnostic est tardif, il existe souvent d’emblée une HTIC et/ou un engagement tonsillaire ; ceci atteste du potentiel compressif de la scaphocéphalie.

il s’agit d’un diagnostic différentiel de la pseudo-tumor cerebri et de la malformation de Chiari
variantes anatomiques
il existe plusieurs variantes :
- la sphénocéphalie (en forme de coin), la plus fréquente

- la clinocéphalie (crâne allongé) qui associe un pincement de la région pariétale
- et la leptocéphalie (crâne mince), rare, qui associe la fermeture prématurée de la métopique, et donc un aspect trigonocéphale ; cette dernière sort donc du cadre monosuturaire et fait plus courir le risque d’HTIC.
Par ailleurs la scaphocéphalie peut être le début d’une craniosténose plus complexe ; il s’agit alors d’une scaphocéphalie atypique.
traitement
Le seul traitement est la chirurgie. la technique varie selon l’âge de l’enfant. nous réalisons généralement :
- une craniectomie inter-pariétale vers 4 mois, qui permet de lever l’obstacle à la croissance et permet au cerveau de redonner une forme normale au crâne. la craniectomie a l’avantage d’être simple, moins hémorragique et avec un meilleur résultat morphologique, mais chez un bébé plus petit

- une transposition de volets frontaux et pariétaux à partir de 9 mois, qui redonne d’emblée une morphologie normale. c’est une intervention plus importante et un peu plus hémorragique. Elle permet par ailleurs de corriger la morphologie frontale si besoin comme dans la leptocéphalie (cf. ci-dessous).
devenir
les résultats morphologiques sont satisfaisants avec une technique comme avec l’autre, la correction morphologique est comparable.
la craniectomie apporte une meilleure correction de l’indice céphalique mais pas du périmètre crânien, avec un taux de transfusion sanguine inférieur ; certains enfants nécessitent une intervention secondaire pour lacune persistante après craniectomie, ce qui ne survient pas après cranioplastie.
Les enfants mènent une vie normale.
pour en savoir plus : https://rdcu.be/cjdkp




Commentaires récents