à la différence des autres sutures de la voûte, la métopique disparait totalement au cours de la petite enfance. sa fermeture prématurée (anténatale) est à l’origine de la trigonocéphalie, qui est donc différente des autres craniosténoses : ici, la question n’est pas si, mais quand la suture fusionne. l’absence de fermeture de la suture métopique s’appelle le métopisme.
certains auteurs (A Czorny) pensent que la suture métopique ne joue un rôle qu’au moment de la naissance, pour faciliter la mécanique de l’accouchement. cette hypothèse est corroborée par une prévalence accrue de dystocie dans la trigonocéphalie.
la suture métopique commence normalement à se fermer à partir de 2 mois, la médiane de début de fermeture est de 4 mois. elle achève de se fermer vers 9 mois (médiane), mais peut être déjà fermée dès 4 mois ; elle peut également rester perméable à l’âge adulte on parle alors de métopisme.

le métopisme
il est défini par la persistance de la suture métopique au delà de l’âge habituel de fermeture, ce qui pose la question de la norme. D’après notre travail, la suture métopique reste perméable au-delà de l’âge d’un an dans environ 5% de la population, après quoi sa prévalence reste stable. elle n’a pas de retentissement notable sur la morphologie cranio-faciale, néanmoins les crânes ont un « air de famille » (cf. ci-dessous) avec un bombement temporal au dessus d’un pincement ptérional.
le métopisme et les crânes anciens
les études de paléo-anthropologie ont montré que les crânes des hominiens présentaient plus souvent un métopisme que l’homme actuel. ceci est peut-être à mettre en rapport avec une adaptation progressive du bassin maternel, devenu dans notre espèce mieux adapté à un crâne de nouveau-né volumineux. concernant notre plus proche cousin, l’homme de Néanderthal, qui possédait un cerveau plus volumineux que le nôtre, la persistance de la métopique dans la petite enfance (Cf. ci-dessous) peut s’expliquer par l’impératif d’une croissance post-natale plus importante.
régression de la prévalence du métopisme au cours du dernier siècle
il est attesté que les crânes anciens présentent plus souvent un métopisme que les crânes actuels. ceci est à mettre en parallèle avec l’augmentation récente et importante de la prévalence de la trigonocéphalie, et va dans le sens de l’hypothèse d’une cause environnementale pour cette dernière. parmi les modifications de l’environnement, on peut relever l’expansion de la naissance par césarienne, qui libère de la pression de sélection naturelle qui défavorisait la fermeture précoce de la métopique. les études successives sur la prévalence du métopisme montrent une diminution régulière de sa prévalence (Cf. ci-dessous).
le métopisme en clinique
le métopisme est retrouvé également dans certaines conditions malformatives, en particulier en association avec des pathologies de la ligne médiane.- fistule dermique dorso-nasale.

- encéphalocèle ethmoïdale

- fente faciale

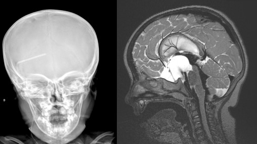
stickler syndrome, also associated with Chiari malformation - kyste arachnoïdien supra-sellaire

- tératome supra-sellaire

pour en savoir plus
The metopic suture: Natural history.Neurochirurgie. 2019 Nov;65(5):239-245. doi: 10.1016/j.neuchi.2019.09.006. Epub 2019 Sep 25.

Commentaires récents